
Oaxaca.- Los Servicios de Salud de Oaxaca (SSO) a través de las unidades médicas de primer nivel distribuidas en las seis Jurisdicciones Sanitarias de la entidad, realizan la vigilancia, notificación y toma de muestras del estudio de baciloscopia gratuito para la detección oportuna de la tuberculosis o TB.
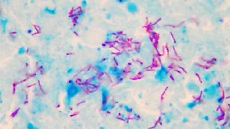
En entrevista, la responsable Estatal del Programa, Amparo María García Reyes, dijo que esta enfermedad es causada por una bacteria llamada Mycobacterium tuberculosis, que afecta a los pulmones, pero puede estar en cualquier órgano como la piel, ojos, riñones, intestino, corazón y mamas.
En este sentido indicó que este padecimiento puede presentarse en cualquier rango de edad y se contagia por vía aérea “las bacterias se liberan al aire cuando una persona con enfermedad de tuberculosis pulmonar tose, estornuda, habla o canta, y quienes están cerca, pueden inhalar estas bacterias e infectarse”, subrayó.
Por lo que exhortó a la población que en caso de presentar síntomas como: tos con flemas durante dos semanas o más, fiebre, debilidad, pérdida de peso, del apetito, sudoración vespertina o nocturna, es importante acudir a la unidad de Salud más cercana, para descartar o confirmar el padecimiento e iniciar el tratamiento.
Dio a conocer que de acuerdo a la semana epidemiológica número 28 en Oaxaca, se han contabilizado 368 casos de (TB) de los cuales 100 se encuentran en la Jurisdicción Sanitaria de Valles Centrales, 94 en Tuxtepec, 77 en la Costa, 69 en el Istmo, 23 en la Mixteca y cinco en la Sierra.
Los cinco municipios con mayor incidencia son: San Juan Bautista Tuxtepec, Oaxaca de Juárez, Santa María Huatulco, Salina Cruz y la Heroica Ciudad de Juchitán de Zaragoza. El 80% de los casos registrados en la entidad es de tipo pulmonar y el resto extrapulmonar.
Ante ello dijo que esta enfermedad infectocontagiosa es prevenible y curable, mediante el tratamiento a base de cuatro fármacos, el cual se les da de forma gratuita durante 6 meses en las unidades médicas, así mismo se hace el estudio de contacto, que permite estudiar a las personas que convivieron con el paciente de forma intradomiciliaria y de su trabajo, por lo que, si presentan algún síntoma, inician su esquema de curación.
Mencionó que la población con mayor riesgo de contraer el padecimiento es aquella que tiene su sistema inmunológico deprimido, así como pacientes con diabetes mellitus, los portadores del Virus de Inmunodeficiencia Humana (VIH), los fumadores, las que trabajan en las fábricas o con polvo del cemento, lo que provoca que sus pulmones sean más susceptibles de contraer el bacilo.
La funcionaria, recomendó a la ciudadanía a no estigmatizar a los pacientes, por lo que deben mantener las medidas higiénicas en el hogar, como el uso de cubrebocas, mantener la sana distancia, ventilar las habitaciones, aseo general, lavado de manos con agua y jabón.
Esta conversación es moderada acorde a las reglas de la comunidad “Ciudadanía Express” . Por favor lee las reglas antes de unirte a ella.
Para revisar las reglas da clic aquí